![]() |
| Bệnh bạch hầu đang có nguy cơ bùng phát trở lại - Ảnh minh họa |
Tại xã Quảng Hòa, huyện Đắk G’Long (tỉnh Đắk Nông) đã ghi nhận hai trường hợp mắc bệnh Bạch hầu, trong đó có một ca tử vong. Bệnh nhân tử vong được đưa đi cấp cứu trong tình trạng ho, đau họng, khó thở… và chuyển biến nặng, dạng "Bạch hầu ác tính biến chứng sang tim"; trường hợp còn lại, là hàng xóm của bệnh nhân này, có tiếp xúc thường xuyên với bệnh nhân. Đây là ổ dịch bệnh bạch hầu đầu tiên xuất hiện tại địa bàn này, sau thời gian vắng bóng từ năm 2004 đến nay.
Theo Cục Y tế dự phòng (Bộ Y tế), bệnh Bạch hầu là bệnh nhiễm khuẩn cấp tính ở tuyến hầu họng, thanh quản, mũi. Bệnh có thể xuất hiện ở da, các màng niêm mạc khác như: Kết mạc mắt, bộ phận sinh dục… Đây là một bệnh vừa nhiễm trùng vừa nhiễm độc, và các tổn thương nghiêm trọng của bệnh chủ yếu là do ngoại độc tố của vi khuẩn Bạch hầu gây ra.
![]() |
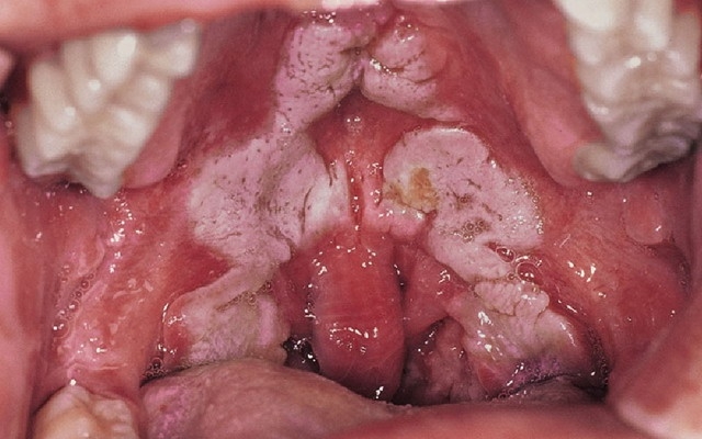
| Biểu hiện của bệnh bạch hầu - Ảnh minh họa |
Biểu hiện của bệnh thường là: Viêm họng, mũi, thanh quản; họng đỏ, nuốt đau; người bệnh da xanh, mệt, nổi hạch ở dưới hàm làm sưng tấy vùng cổ. Khi khám thấy có giả mạc ở các khu vực có triệu chứng bệnh.
Thời gian ủ bệnh của bệnh từ 2- 5 ngày, có thể lâu hơn. Bệnh lây truyền qua đường hô hấp do tiếp xúc với người bệnh hoặc người lành mang vi khuẩn Bạch hầu. Bệnh còn có thể lây do tiếp xúc với những đồ vật có dính chất bài tiết của người bị nhiễm vi khuẩn Bạch hầu. Thậm chí sữa tươi cũng có thể là phương tiện lây truyền bệnh Bạch hầu
Bệnh Bạch hầu thường xuất hiện trong những tháng lạnh ở vùng ôn đới; bệnh có tính mùa, thường tản phát, có thể phát triển thành dịch nhất là ở trẻ dưới 15 tuổi chưa được gây miễn dịch đầy đủ. Ở Việt Nam, thời kỳ chưa thực hiện tiêm vắc xin bạch hầu trong Chương trình tiêm chủng mở rộng, bệnh bạch hầu thường xảy ra và gây dịch ở hầu hết các tỉnh, đặc biệt là ở các thành phố có mật độ dân cư cao. Bệnh xuất hiện nhiều vào các tháng 8, 9, 10 trong năm. Do thực hiện tốt việc tiêm vắc xin bạch hầu nên tỷ lệ mắc bệnh Bạch hầu ở Việt Nam đã giảm thấp.
![]() |
| Nếu không phát hiện và điều trị kịp thời bệnh bạch hầu sẽ dẫn đến tử vong - Ảnh minh họa |
Để phòng bệnh bạch hầu, Cục Y tế dự phòng (Bộ Y tế) khuyến cáo người dân cần thực hiện vệ sinh tốt như: Nhà ở, nhà trẻ, lớp học phải thông thoáng, sạch sẽ và có đủ ánh sáng. Tại nơi từng có ổ dịch bạch hầu cần tăng cường giám sát, phát hiện các trường hợp viêm họng giả mạc. Nếu có điều kiện thì xét nghiệm bệnh nhân cũ và những người lân cận để tìm người lành mang vi khuẩn bạch hầu.
Đặc biệt, cách phòng bệnh Bạch hầu hữu hiệu nhất là tiêm vắc xin phòng bệnh. Các địa phương cần tổ chức tiêm vắc xin bạch hầu đầy đủ theo Chương trình tiêm chủng mở rộng. Nếu có điều kiện thì khoảng 5 năm tiến hành đánh giá tiêm chủng một lần hoặc thực hiện đánh giá tình trạng miễn dịch bạch hầu trong quần thể trẻ em.
Cập nhật thông tin Covid-19 lúc 7h sáng ngày 23/6, tổng số người nhiễm trên toàn cầu đã vượt 9,17 triệu người với hơn 473 ... |
Bề ngoài, nhiều tút do bạn nam nữ công nhân bày tỏ tình cảm, khao khát lứa đôi trên mạng xã hội có vẻ là ... |
Gần 3.000 công nhân PouYuen, TP.HCM mất việc sẽ được nhận trợ cấp của công ty này, 1500 người lao động ở Công ty Taekwang ... |
Đọc nhiều
Tin mới hơn
Giải pháp thực hiện truyền thông hiệu quả nhằm tăng cường nhận thức bảo vệ môi trường ở Bắc Ninh
Người thân thẫn thờ ngóng tin, lực lượng chức năng nỗ lực tìm kiếm thuyền viên mất tích
Công nhân ngành điều tại Bình Phước: Người giữ hồn cho nông sản Việt
Tin tức khác
Người lao động sẵn sàng làm việc trở lại sau kỳ nghỉ lễ 30/4 - 1/5
Hiện thực những hạnh phúc giản đơn của người lao động
Văn hóa công nhân với nâng cao năng suất lao động và hiệu quả sản xuất kinh doanh của doanh nghiệp
Luật BHXH 2024: An sinh không dừng lại ở người lao động
Luật BHXH 2024: "Neo giữ" người lao động có kinh nghiệm


