![]() |
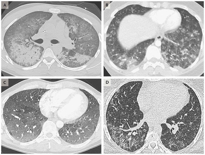
| Hình ảnh scan phổi của 4 bệnh nhân tuổi từ 19 đến 49, cho thấy dấu hiệu tổn thương do sử dụng thuốc lá điện tử - Ảnh : New England Journal of Medicine |
Thông tin từ Sở Y tế bang Indiana (Mỹ), sáng ngày 6/9, tính trên toàn quốc đã ghi nhận trường hợp tử vong thứ 3 trên toàn quốc do mắc bệnh phổi liên quan đến thuốc lá điện tử. Chỉ vài giờ sau đó, trường hợp tử vong thứ 4 được ghi nhận ở bang Minnesota. Sở Y tế Công cộng Los Angeles đang điều tra cái chết thứ 5, và một quan chức cho biết "nhiều khả năng nguyên nhân là hút vape (thuốc lá điện tử)".
Theo New York Times, các chuyên gia và quan chức y tế liên bang hôm 6/9 đã cảnh báo về nguy cơ mắc các bệnh về phổi liên quan đến việc hút thuốc lá điện tử. Họ khuyến cáo không sử dụng các thiết bị này do số người mắc bệnh phổi do hút thuốc lá điện tử đã tăng gấp đôi lên 450 trường hợp trên 33 bang của nước Mỹ, và số ca tử vong đã lên tới 5.
Trước đó, theo CBS News, ngày 24/8 vừa qua các quan chức y tế Illinois cho biết một bệnh nhân nam nhập viện với tình trạng phổi tổn thương nghiêm trọng. Sau đó không lâu, bệnh nhân tử vong. Các bác sĩ cho biết đây là nạn nhân đầu tiên tại Mỹ qua đời với nguyên nhân được cho là do tác hại của thuốc lá điện tử (vape).
"Mức độ nghiêm trọng mà bệnh nhân đang trải qua rất đáng báo động. Chúng tôi nhận thấy cần phải lên tiếng cảnh báo về tác hại của thuốc lá điện tử đối với sức khỏe”, TS Ngozi Ezike, Giám đốc Trung tâm Y tế Công cộng Illinois, cho biết.
Bệnh nhân trải qua nhiều triệu chứng như ho, khó thở, mệt mỏi, nôn mửa và tiêu chảy. Tình trạng này sẽ "trở nên tồi tệ hơn trong một vài ngày hoặc vài tuần trước khi nhập viện”, CNN đưa tin.
Tiếp đó, một ca tử vong của nam thanh niên 18 tuổi đã chết vì “tổn thương phổi nghiêm trọng” liên quan đến thuốc lá điện tử – nâng số ca tử vong nghi do hút vape tăng lên 3. Cùng lúc, lại thêm trường hợp thứ 4 cũng được cơ quan y tế của bang Minnesota xác nhận.
Đến nay, Trung tâm Kiểm soát và Phòng ngừa dịch bệnh (CDC) cho biết đã phát hiện 193 trường hợp gặp nguy hiểm về phổi trên 22 tiểu bang của Mỹ. Số bệnh nhân đã tăng gấp đôi chỉ trong một tuần, tại Illinois. Về hiện tại, bang này đang có tổng cộng 22 ca báo cáo về tình trạng sức khỏe nghiêm trọng sau khi hút vape. Độ tuổi của các nạn nhân từ 17 đến 38 tuổi.
Việc các ca bệnh phổi cấp tính có liên quan đến hút vape gia tăng trong thời gian gần đây đã làm dấy thêm mối lo ngại về sự an toàn của thuốc lá điện tử. Thuốc lá điện tử vốn được kỳ vọng trở thành công cụ giúp cai thuốc lá truyền thống, giúp người hút thuốc thoả mãn cơn nghiện nicotine mà không phải tiếp xúc với những độc tố chết người có trong thuốc lá.
Các quan chức của CDC cho biết họ tin rằng một số "chất hoá học" có liên quan đến các trường hợp mắc bệnh nhưng họ vẫn chưa thể xác định một "thiết bị, sản phẩm hoặc hợp chất" cụ thể chịu trách nhiệm cho những gì xảy ra, theo bác sĩ Meaney-Delman.
Cơ quan chức năng phát hiện trên một xe tải có 31.680 bao thuốc lá điếu nhập lậu, được ngụy trang trong các thùng bánh, ... |
Thuốc lá điện tử từng được kỳ vọng sẽ giúp cai và giảm các tác hại của thuốc lá, nhưng thực tế có đạt được ... |
Việc hít không khí ô nhiễm có thể tương đương với một người hút bao thuốc lá 1 ngày trong vòng 29 năm. |
Bị lực lượng chức năng phát hiện, người lái xe điều khiển xe tải chở 17.000 bao thuốc lá và 60 chai rượu nhập lậu ... |
Đọc nhiều
Tin mới hơn
Nghỉ ốm dài ngày trước khi nghỉ thai sản, người lao động có mất quyền hưởng trợ cấp thất nghiệp?
Khi công ty đổi tên pháp nhân, người lao động có được truy trả bảo hiểm thời gian thử việc?
Lao động nữ xin tạm nghỉ để dưỡng thai có cần xác nhận của bệnh viện công?
Tin tức khác
Tai nạn trên đường từ công ty về nhà có được xem là tai nạn lao động?
Người giữ ngọn lửa yêu thương nơi những mảnh đời yếu thế
Phúc lợi kịp thời, Tết Bính Ngọ thêm ấm áp với công nhân Huế
Giải pháp thực hiện truyền thông hiệu quả nhằm tăng cường nhận thức bảo vệ môi trường ở Bắc Ninh
Người thân thẫn thờ ngóng tin, lực lượng chức năng nỗ lực tìm kiếm thuyền viên mất tích
